"为牙齿加固,随后装上牙冠……"在日常诊疗过程中,不少患者在接受龋齿治疗时,会被医生建议进行根管治疗后再进行打桩并安装牙冠,这一系列步骤具体是怎么回事?打桩这项工序又会额外收取多少费用呢?
什么什么是牙齿打桩?
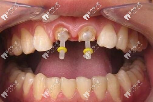
牙齿由于龋坏、外伤等原因导致缺损,若是缺损较大,或只剩下牙根时,因剩下的牙齿过短或力量过于薄弱,不能用修复体也就是牙冠(牙套)直接修复,需要给牙根里打桩。

这样做的目的就一方面增加牙套支撑力,获得固位。另一方面免除拔牙根,保护牙根继续被龋坏。
什么样的牙齿需要打桩?
1、由于龋坏(虫牙),外伤等原因造成牙冠大面积缺损者;
2、牙齿缺损只剩下牙根,而牙周健康,牙根有足够的长度,经牙龈切除术能暴露出根面者;

牙齿打桩的材料有哪些?
牙齿打桩的材料有纤维桩和金属桩两大类。其中金属桩的材料又分为不锈钢、金钯合金、金铂合金等。如果是前牙,建议使用纤维桩,因为它耐腐蚀性强、不含金属不影响医学检查,不容易引起根折,美观性能好,可以配合全瓷牙使用。

而如果是后牙,使用金属桩比较合适,因为处在后牙,对美观的要求性不需要很高,金属桩不易导致牙根折裂,耐腐蚀。
打桩的费用?
钴铬铸造桩:550起
银钯合金桩:1500起
纯钛桩核:2600起
金铂合金桩:4500起
玻璃纤维桩:1200起
石英螺旋变色纤维桩:2800起
二氧化锆桩核:2800起

牙齿打桩疼不疼?
不会疼。因为牙髓(牙神经)肯定被拔除了,而且牙骨质内是没有神经组织的。













