擅长项目:
1、单颗、多颗、半口、全口牙齿缺失种植修复、全口咬合重建、前牙美学修复、固定及活动义齿修复、各类全瓷固定修复、及精密附着体功能性修复、老年无牙全口义齿修复等;
2、对种植美学和功能学的双重结合有独到的见解和设计美学方案,深受患者信赖;
3、擅长牙齿矫正,如龅牙、地包天、开颌、牙前突、反颌、深覆颌、牙列拥挤,美国隐适美无托槽隐形矫正,半隐形陶瓷托槽矫正、金属托槽矫正等。
北京中诺口腔医生——孙金鑫:

个人简介:
孙金鑫,口腔执业医师,口腔正畸医生、口腔种植义齿修复医生、,北京中诺口腔种植科主任,从事口腔临床工作十多年,在口腔正畸、口腔种植方面有着丰富的临床实践经验,为了精进技艺,曾多次于国内外举办的口腔正畸、种植修复学习班进修学习,也曾多次受邀参加国内外大型的口腔学术会议,能结合现代先进的正畸和种植技术,为患者进行口腔治疗,良好的治疗效果,深得患者的赞誉和好评!
北京中诺口腔孙金鑫好不好?案例效果来证明:
1、牙齿矫正
问题:个别牙齿反颌,门牙前突,牙齿拥挤不齐
矫正技术:隐适美隐形矫正
矫正时间:559天
矫正状态:牙齿已经基本排齐,矫正还在进行中

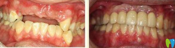
2、牙齿种植
问题:多颗牙缺失,说话漏风
种植技术:立得用种植体系

在工作中,孙主任严格要求自己,对待工作认真、谨慎、负责任,到目前已经有无数正畸、种植成功案例,也是众多明星艺人指定牙齿修复医生。














