董毅个人简历:
东莞南城固德口腔院长/总裁。
职称:主任医师、副,学历:口腔医学博士。
擅长项目:全口半口种植、牙齿修复、冠桥修复等牙齿疑难问题。

周院长专注口腔领域28年,也是口腔的资深种植医生、在国内口腔领域有着较高的度。凭借着自身专业精湛的牙科诊疗技术、良好的医德及丰富牙科诊疗经验,在国内外多家口腔医学杂志发表专业论文数十篇,并受到香港《太阳报》、《苹果日报》、《体育风尚》、《慈善在线》及深圳私家车广播等多家媒体及栏目专访报道。
医生所获部分荣誉:
口腔种植中心学科带头人
民营分会委员
种植专业委员会委员
广东省种植专业委员会常委
医学会种植专委会常委
医学会民营口腔医疗分会副主任委员
口腔硕士研究生指导教师
德国牙医生委员会主任委员
德国IZI种植培训中心主任
AIC牙科种植体研究与教育中心培训顾问
芬兰土耳库访问学者
周医生学习任职历程:
2000年起,多次受邀赴德国、美国、芬兰、韩国、日本等地牙科同行交流,担任访问学者;
2008-2011年连续四届担任“9·20”全国爱牙月“深港百名牙型公益义诊”首席医生顾问。
东莞固德口腔周毅医生牙齿种植案例图:
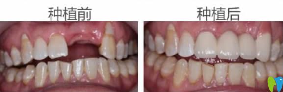
1、门牙缺失2颗种植后对比照:
口腔情况:门牙缺失、导致说话口齿不清
治疗方案:微创无痛种植系统

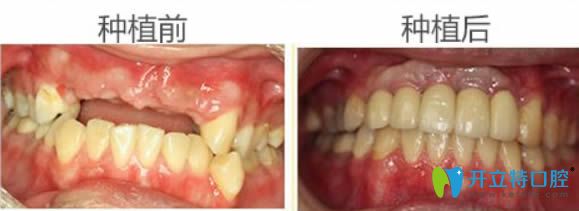
2、全口牙缺失种植前后对比效果:
口腔情况:上颌无齿,不能正常进餐
治疗方案:瑞士3D无痛种植系统

微创无痛种植牙技术优势:
瑞士3D无痛种植系统已经有30多年的临床使用经验,据调查,顾客使用十年的成功率超过95%。对于牙齿缺失的顾客来说,一次手术即可完成种植,而且恢复期短、成功率高。


