想去昆明柏德口腔看牙,不知道这家口腔是否正规靠谱,今天就来给牙友们介绍下小编知道的关于昆明柏德口腔的信息,还贴心告诉你医院地址哦~

柏德口腔五城八院,分别在北京、重庆、贵阳、广州、昆明都开了分店,各自在当地都受到当地老百名的一致点赞哦。
昆明柏德口腔是在2025年的时候开始营业的,医生团队的实力很强,医生均来自于德国慕尼黑和洪堡等学府,还邀请了来自于北上广昆各地的自身牙医,好的医生是决定看牙的关键一环,也是更安全的手术保障。

在设施设备上,昆明柏德口腔是卡瓦口腔设备全系列品牌地区的展示医院,也是卡瓦口腔设备品牌中国区的重点技术和设备支持的单位。
可能说到这里,一些牙友们对卡瓦也不是很了解,卡瓦是一家专门世纪并制造口腔设备和各类材料为主,被很多口腔医院引进口腔设备运用及使用。

柏德口腔采用AI智能化种植牙,它主要借助的是3D数字化导板技术,降低了手术的时间和创伤程度。
再也不用像传统种牙那般种植牙床不用做大切口,这样避免了伤口过大造成红肿发炎的可能,微创种植加快了愈合恢复,让植牙者少受罪。
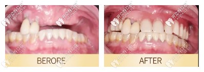
昆明柏德口腔的种牙案例▼

小编总结:昆明柏德口腔是一家正规靠谱的口腔医院,推荐去看牙!地址如下:
南亚院区地址:昆明市滇池路南亚风情园(建设银行旁);
同德院区地址:昆明市白云路与北京路交叉口金色年华A座1~3楼;
如果您正在寻找一家正规可靠的牙科医院,昆明柏德口腔无疑是一个优质的选择。想要前往体验专业的牙科服务,不妨记下世纪城院区的具体位置:昆明市世纪城金源大道吉祥西路口(富滇银行旁)。这里的专业团队将为您提供满意的治疗方案。












