青岛维乐口腔——徐文磊院长
首席种植修复医生/全科医生
前牙美学修复医师
青岛维乐口腔综合齿科医生
美维口腔资深修复医生
种植二期美学个性化修复技术

【擅长项目】疑难牙拔除术、根管治疗术、前牙区全瓷贴面、牙周牙髓病无痛治疗
【从医时间】2008年至今
【个人简介】
徐文磊,现任青岛维乐口腔院长,拥有十余年的临床工作经验,曾多次参加国内外各种前沿学习班深造,参加国内外牙齿美容修复培训及讨论会,能够熟练的掌握先进牙齿美容修复诊疗技术同时积累了丰富的临床经验。
徐院长对复杂牙列缺损修复、修复全口义齿、牙齿美容等方面有丰富的经验。对现代数字化根管治疗、口腔种植、牙周病的系统治疗也有着较高的造诣。对待工作严谨负责,待人温和热诚,深受顾客信赖。
【经典案例】
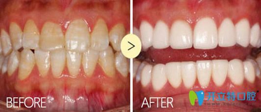
1、牙齿美白修复

顾客反馈:自从学会抽烟后牙齿越来越黄,虽然现在已经戒了但是却不敢漏齿笑了。去年在维乐拔了智齿那里的医生让我觉得很信任所以决定还是去他们那里做牙齿美白,做完牙齿美白之后的我终于可以放开的笑了!
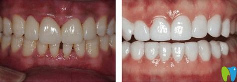
2、瓷贴面

牙齿的中线对不齐,主要是因为下牙太稀松,不仅吃东西塞牙而且也影响美观。在维乐找的许院长做瓷贴面,做完贴面的天,牙齿有些酸,然后不太敢咬硬的东西。等到第二天就会好很多。现在吃饭也不成问题了。











