为回馈沈城百姓,六月份百嘉丽口腔在口腔清洁、美白、修复、矫正和种植等项目均有优惠,更是在学生暑假期间推出“阳光微笑筑梦基金”大型援助活动,关爱有牙齿矫正需求的学生和教师朋友们,希望初夏时节您天天都有好口福,口腔健康无忧,沈阳百嘉丽口腔暑假狂欢,美丽6月天,微笑毕业季,折扣礼全场9折,放“价”到底,活动时间6月1日-30日。

一. 健康洁牙:清污除菌口气清新
全年牙齿保健套组限时优惠168元
功效:深层清除牙石牙垢,预防牙周疾病保健防龋齿。

二. 炫白美牙:遮黄黢黑皓齿如雪
美国皓齿美白直降1500元
功效:低温冷光祛除色素,快速自然美白牙齿。

三. 齐美矫正:收颌除龅歪牙立正
1. 经典金属托槽矫正特惠5800元
功效:经典有效固位力好,功能稳定性价比高。

2. 隐形矫正直降10000元
功效:外观精美容易清洁,准确定位速度更快。

3. 其他传统矫正直降3000元

四. 师生矫正礼
百嘉丽6月“阳光微笑筑梦基金”学生、教师消费矫正即送4140元的百嘉丽美容项目:
1. 美国VISIA7皮肤检测一次,价值1580元。

2. 3D整形机器人体验券,价值1280元。

3. 超微小气泡焕肤一次,价值1000元。
4. 360超声波洁牙一次,价值280元。
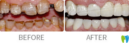
五. 圆满修复:补缺填漏重获
1. 德国威兰德全瓷冠买三赠一
功效:修复色素牙、牙齿缺损等情况,维护牙龈健康。

2. 3D明星皓瓷买五赠二
功效:科学模拟专属定制,舒适美观,效果可视。

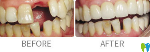
3. 韩国登腾种植牙套餐特惠4800元/颗
功效:微创微痛填补缺牙,坚固耐用媲美真牙。

4. 以色列ABT种植牙套餐特惠5800元/颗
功效:3D设计精密度高,稳固持久不易崩瓷。

六. 先整牙后付款灵活分期无利息
凭身份证快速办理,还款无需信用卡,0首付0利息0负担
沈阳百嘉丽口腔汇聚专业医师团队,实力造就品质牙科。
口腔相关项目价格表:
儿童功能性矫正器 - 基础型: 3160元起
儿童功能性矫正器 - 高级型: 5980元
儿童硅胶牙套矫正器: 8968元
儿童隐形牙套矫正 - 标准版: 7499元起
儿童隐形牙套矫正 - 专业版: 8999元起











