段银钟,,主任医师,博士。渭南小白兔口腔牙齿正畸资深医生,原第四口腔正畸科主任。
段,多年来一直工作在口腔正畸学专业医疗、教学、科研线。他积极掌握国内外主流的口腔治疗技术和前沿的服务理念。专注研究骨性错合的早期矫正,正畸、正颌外科,成人矫治,临床推磨牙向远中技术,种植体口腔正畸临床应用,埋伏牙的导萌等领域多年,并取得了骄人的成就!

正畸联盟会员
全国口腔正畸资格认证会委员
口腔正畸专业委员会顾问
擅长项目:
1、儿童及成人各类牙颌畸形的诊断和治疗,如:牙列不齐、拥挤、前突、反合(地包天)等,
2、牙周病的正畸治疗、正颌患者术前术后正畸治疗等疑难牙颌面畸形。
3、儿童和青少年早期骨性错牙合畸形的矫治。
4、成人及牙周病错牙合畸形的矫治以及颜面部严重骨性畸形的正畸外科联合治疗等。
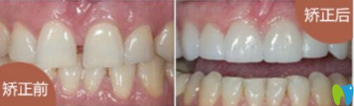
代表案例:

医生学习历程:
1976年5月毕业于第四口腔。
1986年和1990年在第四获口腔医学硕士和博士学位。
1991年至1993年赴日本大阪齿学部研修。







