厦门宏沅膛口腔——陈少杰简介:
【职称】:牙体牙髓医生、主任医师。
【所属机构】:厦门宏沅膛口腔。
【擅长项目】:口腔正畸、牙齿正畸、牙齿矫正、口腔内科、牙体牙髓病的治疗等。

陈少杰,毕业于泉州医学高等专科学校,现任厦门宏沅膛口腔主任医师。从事口腔临床工作十余年,曾在泉州市中口腔科进修,多次受邀参加国内外口腔学术交流会。具有丰富的临床经验和扎实的理论知识,尤其对口腔正畸方面有很高的造诣,精湛的医技及细心周到的服务,受到到广大顾客的一致好评及和认可。
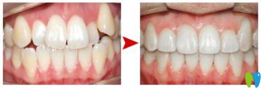
厦门宏沅膛口腔陈少杰医生牙齿矫正术前术后效果对比图:

医生荣誉:
厦门
厦门宏沅膛口腔连锁牙体牙髓医生







