我的闺蜜属于从小就长得好看的那种,整个人也比较有气质,但是她也有她的烦恼,那就是门牙有个小缝,不过自从做了义获嘉全瓷牙贴面,这效果一个词形容:美爆了。
说实话,她的牙整体还算整齐,都规规矩矩的呆在该呆的地方,美中不足的就是那个小小的牙缝。

掐指一算,婚期定在半年后,婚纱照可以接受P图,但是谁不想结婚当天面对满堂宾客可以自然的笑呢。
不经意间,听说通过瓷贴面修复技术可以关闭牙缝,在朋友推荐下我陪闺蜜来到了大川齿科。

经过跟医生沟通后,也看过了之前的一些案例,我们选择了义获嘉超薄瓷贴面,医生说这款瓷体面仅有0.2mm厚,薄度可媲美隐形眼镜;
因为贴面超簿,不用磨去健康的牙,而且贴在牙齿上会特别自然。

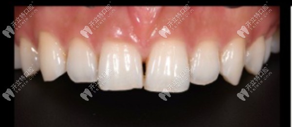
当天经过一些列先进取模环节,如人脸识别采集数据及数字化口扫获取数据模型等等,直接跟大家看我闺蜜经过修复后的效果图吧。

自从门牙牙缝关闭后,我能感受到她整个人瞬间就更加自信了,希望婚礼上她可以放肆的开怀大笑啦。




