王女士的牙齿间隙非常大,而且还有些发黄,弄得她都不太敢笑了,为了能拥有一口真气漂亮的牙齿,王女士听朋友介绍来到了遵义华美口腔准备做牙齿美学修复。
——病例——
姓名:王女士
年纪:28岁
牙齿问题:前牙有缝隙,影响美观,求治
治疗方案:3D牙贴面
【病例详细情况】
患者王女士,28岁。因为平时不注意饮食和口腔健康,不仅前牙有缝隙,而且形态色泽异常,影响美观,故前来遵义华美口腔,希望能够得到治疗的同时也恢复牙齿的美观度。
【口气口腔检查后诊断】:
1、上下前牙区散在间隙;
2、21和31牙体缺损;
3、12过小牙
【治疗方案】:
1、全口洁治;2、瓷贴面修复
遵义华美口腔3D牙贴面前牙齿照片:

根据王女士的牙齿面相照可以看出,她不仅牙齿缝隙比较大,还存在着过小牙和瓜子豁的问题,是非常适合贴面修复的病例。
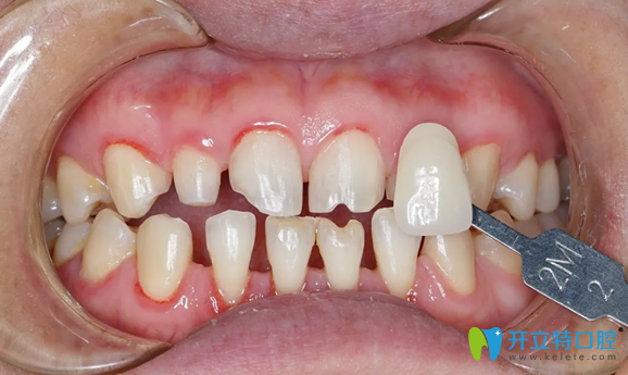
3D牙贴面制作前基牙色比色:

3D牙贴面制作前目标色比色:

3D牙贴面治疗前后对比照片:

做了3D牙贴面修复之后,不仅解决了王女士牙缝大、瓜子牙、过小牙的症状,并改善了牙齿颜色,前后对比非常明显,牙齿的美观性得到大幅提升,王女士是非常满意的。
治疗后,医生叮嘱她,如果感觉不适随时到复诊,在牙齿恢复期要避免咀嚼硬食,注意口腔清洁。




