在很多人看来,牙齿矫正,尤其是成人牙齿矫正“钢丝”这种非常够劲的手段才能起到矫正牙齿的作用,对于隐形牙套,看着“很薄的透明的塑料”真的能起到矫正牙齿的作用吗?疗效好不好不是说出来的,大家不妨可以看看口腔真人隐形矫正牙齿的的案例效果吧。
隐形牙齿矫正案例一:
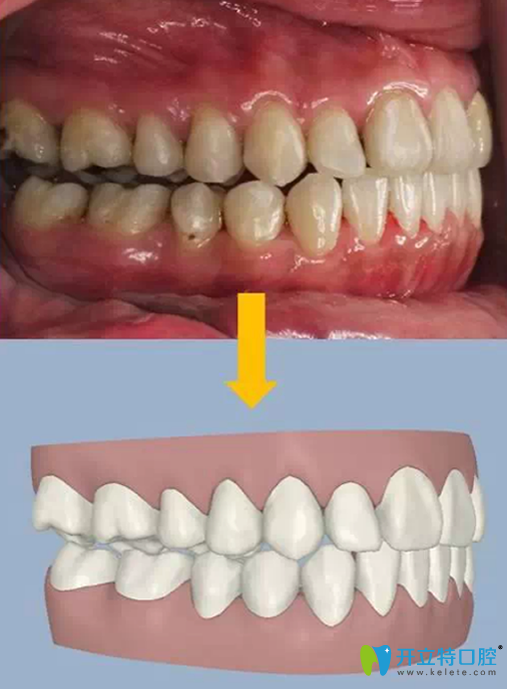
牙齿情况:拥挤,虎牙凸出,深覆合,深覆盖。
矫正周期:16个月
使用牙套:45副
牙齿矫正术前术后对比案例:

校正前可以看出后这个牙挺乱的,虎牙突出,拥挤,深覆合,深覆盖,这个是很多小伙伴都有的问题。看看看,这个案例你们觉得够复杂吗?隐形牙套做到了,45个牙套,64周,16个月完成啦!
矫正后,突嘴和脸型都有了很大的变化。当然,由于她的过咬合非常严重(上下排差距太大),拔去了上牙的左右两颗前臼齿,能够把整个上排往后退并调整下排牙齿角度,使牙齿能够达到标准咬合。
隐形牙齿矫正案例二:
牙齿情况:过咬合、凸嘴
周期:10个月
牙套:35副
龅牙隐形矫正案例前后对比图:

这个妹妹的牙齿除了上牙凸出(龅牙/天包地),其他牙齿也很整齐没什么毛病。
她在矫正时也是拔掉了左右两颗前臼齿,把整排上牙往后推,总共是35个牙套,时长10个月,效果显著。
3D数码隐形正畸矫正过程展示:
1、首先经由先进的3D电脑雷射扫描技术将实体的牙齿转换成3D数码模型。

2、医师在3D数码模型上模拟矫正疗程,设计出牙齿移动的方向和过程,将牙齿依临床步骤在电脑上逐步排列整齐。(这个过程可能分十几步到几十步,每一步对应一副牙套)。

3、接下来, 再用 3D打印技术,模拟出每个步骤的实体模型。

4、再打印出一系列塑料牙套,高精密度3D打印且充分抛光后的实体模型表面非常光滑, 可做出精准的隐形牙套。

5、你只需要按照医生的要求,每2周更换一副一套,戴够医生要求的时间,牙齿就会慢慢变整齐。

3D数码隐形矫正牙齿优势:
1、舒适自然,矫正器根据力学设计,外形光滑、无异物感和黏膜刺激
2、方便自如,随心所欲的自由摘戴,每日仅需佩戴20小时,不影响工作和生活。
3、高效省时,每两周更换1副牙套,复诊次数更少,每次复诊的时间根骨丹。
4、私人订制,医生一对壹方案设计,量齿订做。
5、疗效预测,可以作出针对每个患者的3D仿真矫治过程效果预测。






