张莹超——北京齿康口腔主治医师,被众多看牙顾客评为“齿康口腔较受信赖的明星医师”!
擅长项目:
1、口内治疗、尤其擅长各类残根残冠及阻生齿拔除;
2、牙齿美容修复:缺失牙种植、各种活动、固定牙、氧化锆及全瓷类美容修复、美学贴面等;
3、精通桩冠、嵌体、精密修复体和全口义齿等。

张莹超主任,毕业于哈尔滨口腔系。从事口腔诊疗及科研工作20多年,拥有丰富的临床经验和扎实的口腔医学专业理论基础。
张医生在工作上,视病人为亲人,耐心倾听、细心观察、亲切交谈,热心耐心对待每一位顾客;在技术上,她不断学习和创新,稳步提升自己的口腔技艺和诊疗理念。她的齿科诊疗以“操作认真细致,技术上精益求精,行医严谨认真”而著称。
张莹超医生曾在潞河,工作近20年;曾多次参加种植牙专业培训和全国性的学术会议。
北京齿康口腔怎么样?看看张莹超主任看牙案例及顾客对她的评价:
【案例一:氟斑牙美白修复效果】

董女士,30岁。中重度氟斑牙,齿康口腔张医生给她做了烤瓷冠修复。
董女士说:“因为我治疗的时间比较长,耽搁正常吃饭时间。但是张主任毫无怨言,仍然很认真、耐心地完成每一个步骤,我觉得她很敬业,也很专业!”
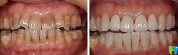
【案例二:62岁李大爷门牙缺失种植牙齿前后效果对比图】

今年62岁的李大爷,门牙缺失了,吃东西很不方便,在儿子的陪同下,来到了北京齿康口腔。张主任采用All-on-4即刻负重种植技术,为李大爷种植了牙齿。
术后,李大爷当场就能咬苹果了。他说“张主任的技术好,人也好,能体谅我的苦楚,平易近人,态度很温和,老伴儿的牙也掉了,我尽快带她来种牙”!
齿康口腔张莹超主任说:这些亲切的话语,就是对我的鼓励,我会不断努力前行,为每位顾客带来舒适的看牙体验!




