苏州拜博口腔是经苏州相关部门批准成立的正规口腔机构,总营业面积300多平米,目前在苏州拥有两家门店,分别是美瑞店和玲珑店。苏州拜博口腔专业开展口腔种植、牙齿矫正、美容修复、牙齿美白及牙齿综合治疗等诊疗项目,在拥有一批经验丰富的医生同时,还以拜博集团为依托,共享医生资源,致力于于为更多苏州老百姓提供优质的口腔健康服务。

拜博口腔医疗集团(简称拜博集团)始建于1993年,经过20多年的发展,目前在在全国50余个一线和重点城市,如北京、、广州、深圳、重庆、天津、江苏等地设有200余家直营口腔医疗连锁机构,每年为上百万客户带来专业口腔诊疗服务。
精品项目特色诊疗:
1、IDDC种植复杂病例诊断中心
拜博口腔IDDC种植复杂病例诊断中心,专注于种植复杂病例的诊断和解决方案设计。以口腔种植大咖周磊为核心,汇聚种植医生,聚焦种植牙高难度病例的多路径解决方案。
【先进技术】:TPP穿翼板种植修复技术 V_II_V、即刻负重修复技术、穿颧即刻负重修复技术、数字化3D导板种植技术、拜博口腔舒适镇静技术、博士生导师领衔IDDC医生团。
【真人案例】:
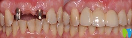
拜博口腔靠谱吗?来看前牙GBR+同期种植案例:

2、拜博口腔正畸学科中心
以沈刚为首的拜博口腔医疗集团正畸学科联合体,坚持以技术进步为基础、以学科建设为动力、以以才培养为根本的运行原则,在临床、科研、教学各个方面取得了令人瞩目的成绩。
【先进技术】:粘固式SGTB矫形技术、A6-隐形SGTB矫形技术、数字化舌侧隐形正畸技术、广覆盖正畸远程诊疗/培训体系。
【真人案例】:
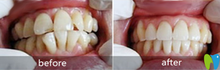
苏州拜博口腔正畸好吗?龅牙+牙齿拥挤不齐矫正案例来验证:

3、DSD微笑美学设计
基于CT三维系统360°断扫描,精准分析牙间距、牙垂直距离,咬合关系,以及与唇部和颌面的外部、内部关系,根据微笑标准,为顾客量齿定做专属于您自己的微笑的牙齿矫正设计方案,让你美牙效果与脸型完美结合。
【优势】:三维准确测算咬合关系;牙齿畸形准确诊断;数字化高精设备辅助;提前1小时预知美牙效果。

4、拜博舒适诊疗系统
拜博舒适诊疗系统主要采用主流的清醒镇静技术。复合各种镇痛镇静方法和监测技术。配合规范的六手操作,缓解各种口腔疾病的治疗过程中的焦虑紧张情绪。
【优势】:利用全新吸入式镇静系统、激光辅助诊疗系统、口腔局部麻醉仪及电子镇痛仪等,并定期跟踪康复情况,医生随时在线为顾客服务。
5、拜博儿童齿科中心
拜博口腔儿童齿科诊疗中心,为孩子配备外观可爱的医疗器械和经验丰富的儿童专科口腔医生,还设置别具特色的儿童主题诊室,配合舒适化治疗,使孩子在就诊时不会感到害怕。
拜博口腔是不是很贵?来看苏州拜博口腔收费价目表:
德国进口种植牙种植体14800元起
全瓷牙5000元起
合金烤瓷牙1900元起
金属托槽矫正13400元起
成人补牙400元起
苏州拜博口腔会定期举办一些公益活动,在回馈社会的同时,也让国民提高了口腔健康的预防保健知识。



