在苏州口腔排名中拜博口腔也是排名比较靠前的,每天咨询的顾客非常多,不过问题主要集中在,“苏州拜博口腔靠谱不,收费贵不贵上”,为此,小编特地走访了拜博口腔,拿到了一份近期苏州拜博口腔近期收费价格表,另外还有顾客近期看牙案例及反馈评价,现在公布给大家。
苏州拜博口腔怎么样?
苏州拜博口腔隶属于拜博口腔医疗集团,目前在苏州有两家分院,美瑞店地址位于星海街200号星海广场5星海体育中心,玲珑店地址位于玲珑街58号1幢223室(玲珑湾);拥有经验丰富的业内口腔医生组成的医生团队,并配备先进的诊疗技术和设备,并定期邀请拜博口腔集团大拿级口腔医生来院亲诊。

苏州拜博口腔是不是很贵?来看拜博口腔近期收费项目表:
1、牙齿矫正
美国进口AO金属自锁托槽正畸牙套矫正器特价28400元,原价46000元
代天使隐形牙套特价36450元,原价42000元
进口隐适美隐形正畸矫正矫治特价43000元,原价90000元
2、牙齿种植
韩国Dentis种植牙种植体套餐特价6645元/颗起,原价7200元/颗起
德国进口种植体种植牙特价9980元/颗起,原价14800元/颗起
3、牙齿美容修复
钴铬合金烤瓷冠牙冠特价1900元,原价2500元
尔创全瓷牙冠特价3600元,原价5000元
3、其他项目
3M纳米树脂补牙特价650元/颗起,原价1000元/颗起
单人法国赛特力气动声波牙齿清洁套餐特价158元,原价530元
单人瑞士EMS洁牙套餐特价420元,原价1210元
单人儿童全口涂氟套餐特价19.8元,原价330元
拜博口腔好不好?真人案例+顾客评价公布:
1、补牙+装牙套
分院:苏州拜博口腔(美瑞店)
顾客点评:较近来过两次,一次是门牙被狗狗撞掉一块,在这边修补好了,可以说是天衣无缝;一次是以前在别处装的牙套掉了,到这边重做了一个。虞医生态度非常好,医术也很高超,今后打算一直找他看了。

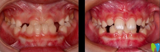
2、9岁的小朋友骨性反合矫正案例
矫正时间: 6个月
分院:拜博口腔(玲珑店)
顾客点评:我是个非常粗心的妈妈,直到儿子持续闹脾气不肯上学,我才发现孩子的牙齿问题,刚开始愁的要死,不过看到还在在拜博矫正过程中牙齿和外貌一点点的变化,我的心才算是放了下来,等医生宣布孩子矫正好之后,我真的非常非常激动,在这里真心的感谢拜博的医生。

好了,以上只是我从苏州拜博口腔众多案例及评价中随意选取的两个,不过不管去苏州哪家牙科看牙,都建议大家去正规口腔,这样看牙的效果不仅有保障,还安全。


