重庆鹏博口腔连锁机构——陈亮院长简介:
陈亮,执业医师,,毕业于武汉口腔专业,现任重庆鹏博口腔连锁机构分院院长。从事口腔修复临床工作多年,先后在重庆口腔、等国内外多家口腔进修学习,曾在宁波、温州、深圳等国内一线城市工作十余年。

擅长项目——牙齿的美学设计与制作、牙齿贴面、牙齿美白、前牙美学修复、补牙、根管治疗、牙体牙髓病诊疗、牙周病治疗、活动及固定义齿修复、烤瓷牙、全瓷牙、各类牙缺失修复、各种复杂牙的无痛拔除、口腔疑难病种的独特理疗法等。
重庆鹏博口腔陈亮院长前牙美学修复真人案例效果及顾客评价:
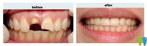
修复前牙齿情况:上门牙一颗断掉、一颗小部分缺失;
修复后顾客感言:33岁,李女士,意外导致门牙一颗断掉,另一颗缺损一块,吃东西很困难,还影响美观,所以在朋友的介绍下到鹏博口腔找陈院长做了全瓷牙修复,前后总共用了一个星期时间,现在无论是外观还是吃东西都和真牙没两样!

从业理念——顾客的满意、微笑,就是我胸前的勋功章。
陈院长在多年的一线工作中积累了丰富的临床经验和扎实的口腔修复理论知识,他对工作非常任职负责,专业技术精湛;对顾客特别善于沟通,也总是站在顾客的角度制定诊疗方案。因此,他在当地口腔医疗界赢得了很高的口碑!










