众所周知,韩国的整形行业是相当出名的,所以很多顾客有牙科方面困扰的时候,也寻思着韩国的牙科水平是不是也和整容一样出名呢?大家不妨通过韩国安特丽牙科的案例及顾客反馈来判断一下韩国的牙科水平怎么样。毕竟这家牙科机构在韩国牙科医院排名中也是很靠前的。
韩国安特丽牙科案例及顾客反馈一览:
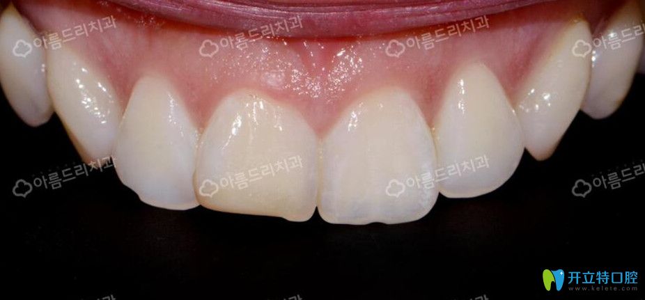
小姐姐在安特丽做了牙齿矫正笑容更加迷人啦:
做牙齿矫正前,我的门牙缝隙很大,吃东西塞牙,还特别影响美观,笑的时候下意识捂嘴。

其实本来没有想着整牙,但是去韩国出差的时候,看着韩国同事一个个精致的面孔,一笑露出的洁白整齐的牙齿,一冲动就决定整牙,在同事的陪同下,面诊了韩国几家牙科机构后,选择了安特丽牙科。

嘻嘻嘻,下牙套之后,我还顺便做了牙齿美白哦,大家觉得我现在的牙齿怎么样呢?
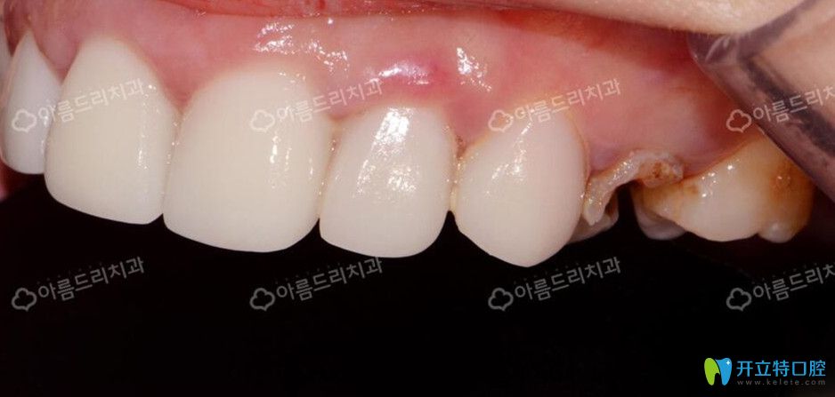
导游小姐姐选择在韩国做了牙贴面修复发黄的牙齿:
我是一名导游,主要负责赴韩游客,在我接待的游客中不乏来韩国整容的或者正牙的顾客,看的多了,自己也萌发了整牙的念头。

我的牙齿因为色素沉淀,有些发黄,并且边缘还有小坑洞。趁着休息,在韩国考察一番之后,我选择了安特丽牙科。

在安特丽体验了牙贴面之后,我才明白为什么这么多艺人、明星会选择安特丽,果然不是没有道理的,嘻嘻嘻~~~
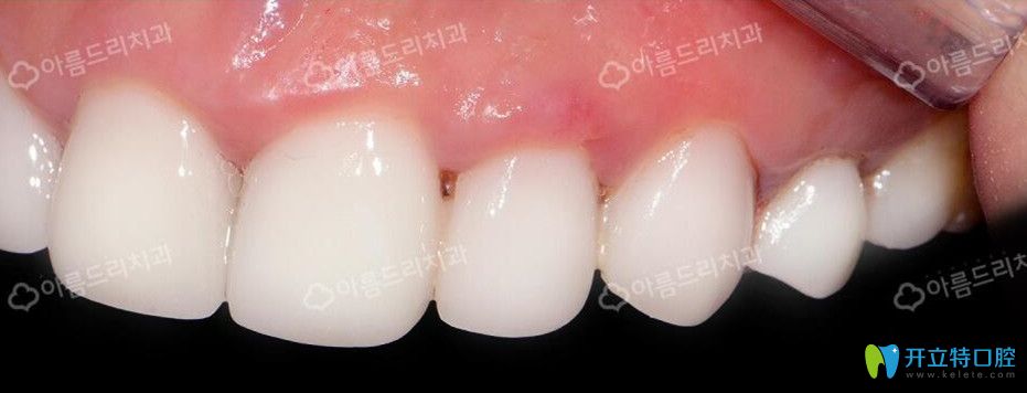
韩国安特丽牙科后牙种植顾客来反馈体验感受:
其实准备做种植牙前,我做了很多的功课的,毕竟我还年轻,牙齿还要用好几十年,所以不做不说,要做就做个好的。 尤其我缺失的是后牙,相对比前牙种植来说难度更大。

首先我想到的就是韩国,因为之前我在那里做过双眼皮,所以做了一番攻略之后,我直接去了韩国安特丽牙科,种植后的效果果然没有让我失望!

因为篇幅有限,暂且给大家分享到这里,如果大家对安特丽牙科有什么疑问,也可以直接咨询。在这里温馨提醒大家,不管做什么牙科项目,建议大家一定要选择好医院,因为我们的牙齿对我们来说是非常重要的哦!如果不想出国也是可以的,毕竟我们国内也是有很多口腔机构的。
口腔相关项目价格表:
下巴后缩正颌手术: 29588-56698元不等
龅牙正颌手术: 37180元-57950元左右
地包天正颌手术: 124968元-161690元左右
凸嘴正颌手术: 32090元左右
双颌前突正颌手术: 21199+元
深覆合正颌手术: 10259元-14699元左右
深覆盖正颌手术: 8459元左右
偏颌正颌手术: 204389元起
脸型不对称正颌手术: 206460元-218599元左右



