靖江市虽不算是大城市,但也是比较繁华,所以大大小小的口腔机构也是随处可见。那么,靖江口腔医院哪家好呢?下面,就来看看靖江艾齿嘉口腔怎么样,当地很多种植牙和牙齿矫正顾客都评价治疗效果好、价格也便宜!
先来看靖江艾齿嘉口腔all-on-4全口种植牙效果怎么样?

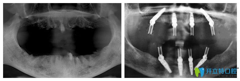
65岁,薛老师;种植前上颌牙齿全部脱落,下颌就剩下四颗残根;之前戴过活动假牙,但因为时间长了戴上很容易掉,所以才考虑做全口种植牙。下面是做种植牙前后的CT片:

薛老师说没做种植牙前听别人说价格特别贵,但是在靖江艾齿嘉口腔面诊、拍片检查后,陈涛医生建议自己做ALL-ON-4全口种植牙,上下颌各植入4颗种植体,就能支撑全口牙冠,这种方法不仅让自己省了很多钱,而且吃东西的咀嚼力也强。
再来看看全口种植牙顾客对靖江艾齿嘉口腔陈涛医生的评价怎么样:

陈医生的种植技术没的说,全口种植牙整个手术过程仅用了2个小时左右,操作很娴熟、手法轻柔,所以种植术后出血量很少,肿胀也比较轻微。种植术后还会告知一些护理方法,复诊的时候也会提前通知,特别细心。
下面是顾客对靖江艾齿嘉口腔收费价格的评价:
靖江艾齿嘉口腔收费价格不但是“公平、公开、透明”,而且在做种植牙还是一次性收费,中途没有附加费用,医生也没有推销不必要的治疗项目。

那么,靖江艾齿嘉口腔的环境、服务好不好?
走进靖江艾齿嘉口腔,整体看上去干净整齐,也没有异味,环境会让人觉得很温馨、舒服,面诊室和治疗室都是独立的,里面有空气消毒器。医护人员都很贴心,自从进来就会有护士1对1的全程陪诊。
以上就是all-on-4全口种植牙顾客薛老师,对靖江艾齿嘉口腔的评价,大家感觉怎么样!靖江的牙友们还有什么疑问可以直接到院体验,或者在线免费咨询!
你可能还想了解:
漳州卓德口腔技术怎么样?allon4半口种植当天用牙/消毒严格溧水金铂利口腔怎么样?金铂利3D导板+Allon4技术(深受顾客点赞
广州穗江口腔地址电话-种植牙价格:allon4半口即刻种植牙5万+
推荐看成华极光口腔价格表,医生报价allon4半口即刻种植牙7w+
成都贝臣口腔半全口种植牙价格表:半固定6666+allon4全口牙10w+
成都拜博口腔快速种植牙费用:单颗即刻5k+allon4半全口即刻6w+
劲松口腔种植牙半口价格4.5w起,allon6半口种植牙比allon4贵1w
福州晨洁口腔种植牙价格:1颗种植牙3580+/allon4半口种植牙45800+
成都锦官口腔种牙价格优惠:1颗1800+/allon4半口种植牙价格24999+
杭州美奥口腔种牙集采价格落地,allon4半口种植牙4w+/1颗3280+




