我上周刚在我们三亚吉阳区这家蛮大的口腔医院做完瓷贴面,主要是修补门牙缝隙。目前来看,效果是非常好的,真的好逼真哦~~~可我想知道,做了这种牙齿瓷贴面10年后或20年后怎么办?会自行脱落或碎掉么?

有木有做牙齿贴面超10年的“过来人”呢?
我就是想了解下,在正常维护和使用的情况下,时间长了,会不会出现裂痕、脱落、变色、或者是对里面包裹的真牙有什么危害?欢迎亲亲们留言回复咯~

忍不住想晒下我的门牙刚做完瓷贴片的效果 ↓
我的牙其实还算整齐,但就是上、下门牙的中缝太特么大了。吃饭塞东西都是小意思,重要的是太丑了,影响我的“小仙女”形象。闺蜜调侃说,别人塞牙是用牙签剔,我都可以直接用筷子剔了(哭笑)~~~

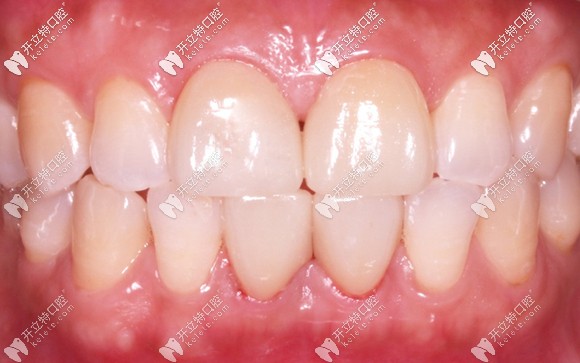
俗话说,没有对比就没有伤害,为了体现我关闭门牙缝后的效果呢,还是先上一张做贴片前的牙齿特写照吧,献丑了~~

现在,如果我不说,哈真没有谁能看出我的门牙是粘了贴片的。闺蜜说:做之前,我笑起来很搞笑,做之后,我笑起来真好看,像春天的花一样.......呵呵,借用一句歌词表达下~~

那么,在三亚做牙齿瓷贴面多少钱一颗嘞?
别家我哈真不清楚,我所在这家微笑牙科,瓷贴面从1千元到5千元1颗的都有,我选的是2千多元一颗的牌子。个人觉得这就中,反正从外形上已经完全是达到我的要求了,推荐额~~~











