吉林爱齿口腔——郭红霞

【姓名】郭红霞
【性别】女
【职务】 医师
【从医时间 】2003 至今
【行医格言】诚信关爱,天使之心;敬业奉献,医生之责。
【擅长项目 】主要矫治上颌突出、兜齿、虎牙、上下颌牙齿严重拥挤、活动义齿修复等。
【个人履历】
郭红霞,毕业于白求恩正畸科,曾在北京研修直丝弓矫治技术1年,拥有十余年的临床经验。曾多次赴韩、美、日等过进行学习交流,有着颇高的正畸治疗手法,技术起点高,矫治技术全面。对牙齿矫正技术方面有较深的研究和独到的见解。
吉林市牙科哪家好?看爱齿口腔郭红霞正畸案例:
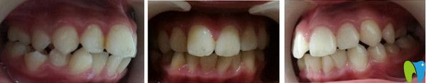
1、牙齿拥挤矫正案例:

▲矫正前牙齿情况:

▲矫正后牙齿效果图:
医生点评:男孩15岁,上颌Ⅲ°拥挤(两颗5完全舌向移位),下颌Ⅱ°拥挤。采取拔除四个5的矫治!整个疗程16个月,如图矫治前后对比照片。
2、牙齿缝隙大矫正案例:

医生点评:女孩23岁,上颌先天缺失两颗侧切牙,导致了前牙较大的缝隙,下颌有一颗多余的切牙,导致下颌拥挤。拔除多余的牙,关闭上颌缝隙,如图矫治前后对比照片。
郭红霞医生从医十余年来,因其矫正术水平颇高,诊疗操作细致,能高效、舒适、美观的解决牙齿问题,为每一位顾客提供高质量的医疗服务,深受众多顾客的信赖。






