吉林爱齿口腔门诊部——谭敬宇
微创美学修复医生
DSD美学设计医生
美国beyond冷光美白高级授权医师
口腔摄影爱好者

【姓名】谭敬宇
【性别】男
【学历】本科
【擅长项目】矫治上颌突出、兜齿、虎牙、上下颌牙齿严重拥挤、活动义齿修复等
【行医格言】精益求精,让口腔与美学完美结合
【个人履历】
谭敬宇,毕业于吉林口腔,现任吉林爱齿口腔业务院长。主要擅长微创瓷贴面、瓷嵌体修复。擅长运用DSD对各类美学重建进行完美修复,同时率先获得美国Beyond公司颁发的冷光美白培训合格证书成为牙齿美白领域的医生。此外对无痛口腔外科及镍钛根管治疗均有较高技术造诣。在工作中耐心细致、能够从顾客的角度出发,对待顾客热情周到,受到了广大顾客的一致好评。
吉林爱齿口腔谭敬宇医生真人案例:
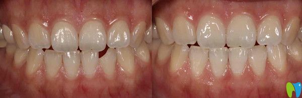
1、前牙牙体缺损病例:

医生点评:顾客是下颌前牙牙体缺损,跟顾客沟通了下方案,决定采用树脂材料进行即刻修复,修复后的牙齿与真牙几乎是没有差别的,顾客很满意!
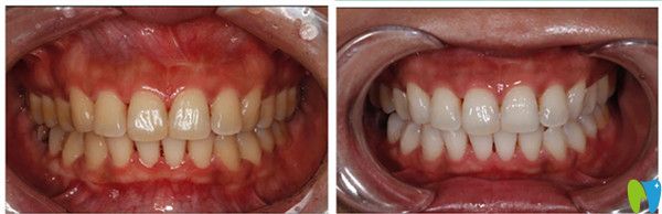
2、冷光美白案例:

术后反馈:冷光美白确实会使你的牙齿变白,效果还可以,但是在做完的1-2天会有轻微的酸痛感,因此不建议大家经常。大家可以看到没做之前我的牙齿发黄,做完之后,牙齿亮度均匀很多,效果很满意!






