吉林爱齿口腔门诊部——郭旭磊

个人简介:
郭旭磊,男,毕业于吉林,现任吉林爱齿口腔门诊部正畸科主任。曾在白求恩口腔学院进修学习口腔正畸术,多次参加国内外口腔正畸专业学术会议及研讨会,具有丰富的临床经验和良好的职业素养,积累了丰富的口腔知识,多年来积累的丰富口腔经验让郭主任对口腔正畸有了独特的造诣,帮助很多顾客走出了痛苦的阴影,受到了业界及广大顾客的一致好评。
擅长项目:各类错畸形牙齿的矫正,对成人牙周病的治疗,对儿童牙病的治疗等。
行医格言:用我的双手给所有牙齿不齐的患者带来美丽蜕变。
吉林爱齿口腔郭旭磊正畸怎么样?看真人案例对比
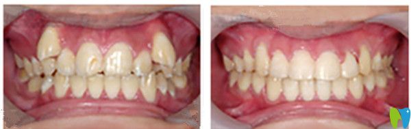
1、牙齿拥挤,牙列不齐案例:

术后反馈:上牙拔了两颗以后,因为工作原因选择了隐形矫正,自我感觉矫正的时间比较快,大概用了一年多的时间吧,牙齿变整齐了,跟医生让我看到的效果图没有多大区别,很感谢吉林爱齿口腔,让我重获一口整齐的牙齿!
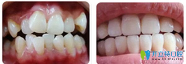
2、牙齿拥挤、上下牙列严重不齐案例:

姓名:Linda
牙齿症状:牙列不齐、牙齿拥挤
主治医生:郭旭磊
心得分享:对于学舞蹈的妹子来说,颜值的重要不言而喻。可牙齿畸形一直苦恼着我。听说吉林爱齿口腔做矫正性价比很高,就决定过来啦。戴了一年半的牙套,慢慢地牙齿整齐又好看了,现在每天晚上还需要戴保持器以防反弹哦。






